Spring navigation over

Bedre strålebehandling af lungekræft giver længere overlevelse og færre bivirkninger

Flere overlever, og færre får komplikationer efter indførelsen af såkaldt ’adaptiv’ strålebehandling for lungekræft. Det viser forskning, som er støttet af Kræftens Bekæmpelse.

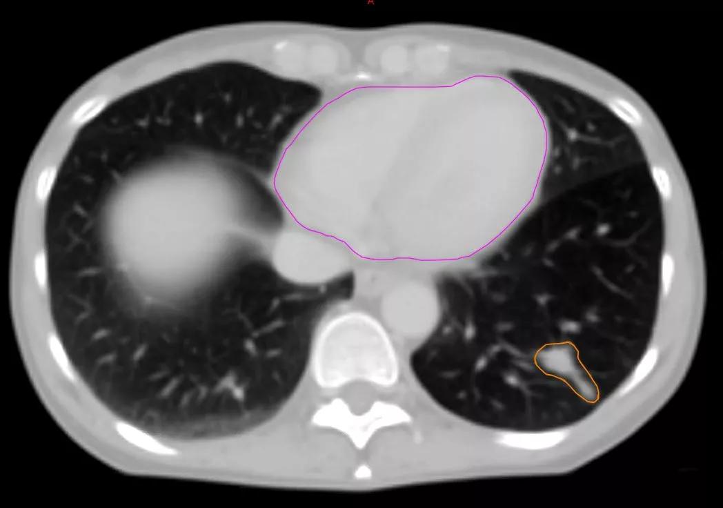
Tværsnit af brystkassen på en patient med lungekræft. Hjertet er markeret med lilla, og kræftsvulsten er markeret med orange. Scanningsfoto: Ditte Sloth Møller

Ved adaptiv – eller tilpasset – strålebehandling tager man hver dag et nyt scanningsfoto af patienten, centrerer strålebehandlingen efter kræftsvulsten og tilpasser behandlingen, hvis der er sket store ændringer i patientens anatomi, for eksempel en sammenklappet lunge.

På den måde rammer man kræftknuden så præcist som muligt og med mindst mulig bestråling af det raske væv. Man er altså både blevet bedre til at slå kræftcellerne ihjel og undgå bivirkninger, viser den nye undersøgelse, der sammenligner den nye teknik med den gamle:

To-årsoverlevelsen hos de patienter, der får strålebehandling mod lungekræft, er steget fra 43 til 56 pct. Samtidig er risikoen for lungebetændelse som følge af strålebehandlingen faldet fra 50 til 20 pct.

- Adaptiv stråleterapi er en tungere proces og kræver flere ressourcer end tidligere, så det er dejligt se, at det faktisk også giver en langt bedre behandling, siger Marianne Marquard Knap, der som lungekræftlæge på Aarhus Universitetshospital har været med til at lave undersøgelsen.

Undersøgelsen omfatter 439 patienter med ikke-småcellet lungekræft, som har fået kemoterapi og strålebehandling på Aarhus Universitetshospital. 184 blev behandlet før indførelsen af ny teknik i 2013, og 255 blev behandlet efter.

I dag er adaptiv strålebehandling af lungekræft standardbehandling på alle hospitaler i Danmark.

Læs om lungekræft:

Lungekræft

Hospitalsfysiker Ditte Sloth Møller og overlæge Marianne Knap, glæder sig over de gode resultater med adaptiv stråleterapi, som blev indført på Aarhus Universitetshospital i 2013. Foto: Aarhus Universitetshospital

Forfinet strålebehandling

Hospitalsfysiker Ditte Sloth Møller fortæller, hvordan den nye teknik har gjort det muligt at forfine strålebehandlingen til gavn for patienterne:

- Før 2013 lavede man én stråleplan, som man brugte hele vejen igennem strålebehandlingen, og som tog udgangspunkt i, at patientens rygsøjle altid lå samme sted på patientlejet, forklarer Ditte Sloth Møller, der er en af førsteforfatterne på undersøgelsen.

Men den teknik var ikke særlig præcis, fortsætter hun. Der er nemlig meget, der kan forandre sig inde i patientens krop i løbet af de seks en halv uger, som strålebehandlingen varer. Ikke mindst kan både kræftknude og lymfeknuder ændre form, størrelse og placering i forhold til hinanden, en lunge kan klappe sammen, eller der kan komme væske i lungen.

- Med den nye teknik begyndte man at tage udgangspunkt i kræftknudens placering, samtidig med at man hver dag tog nye scanningsbilleder og lavede en ny stråleplan hvis der var store ændringer. Det forbedrer muligheden for at ramme kræftknuden præcist med strålerne, samtidig med at vi skåner det raske væv, fortsætter Ditte Sloth Møller.

Læs om behandling af lungekræft:

Behandling af lungekræft

Tværsnit af brystkassen. Hjertet er markeret med lilla, og kræftsvulsten er markeret med orange.

Sammenklappet lunge

To scanningsfotos af den samme lungekræftpatient, der viser, hvor meget anatomien kan ændre sig:

Tværsnit af brystkassen hos samme patient, efter at den højre lunge er klappet sammen. Billedet viser, hvordan hele anatomien har ændret sig, og svulsten er skubbet til en ny placering inde i den sammenklappede lunge.
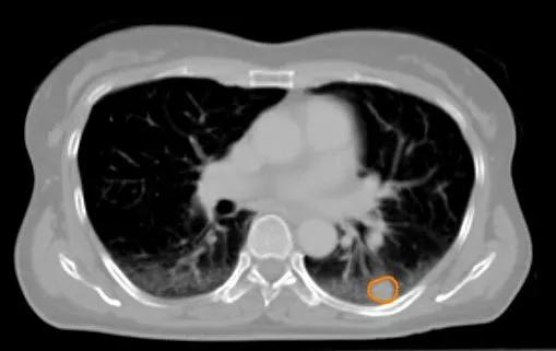
Tværsnit af brystkassen. Kræftsvulsten er markeret med orange cirkel.

Vand i lunge

To scanningsfotos af den samme lungekræftpatient, der viser, hvor meget anatomien kan ændre sig:

Tværsnit af brystkassen hos samme patient, efter at der er kommet vand i lungen. Svulsten ligger nu oven på væsken - den oprindelige placering er markeret med orange.

Færre får lungebetændelse

Netop bestråling af det raske lungevæv kan føre til lungebetændelse, men ifølge det nye studie, er risikoen for alvorlig lungebetændelse på grund af strålebehandling faldet fra 21 til 7 pct. Det er patienter, som ellers risikerer at være afhængige af ilt resten af deres levetid. Andelen af patienter, der dør på grund af stråleinduceret lungebetændelse, er faldet fra 6 til 0,4 pct.

De to forskere glæder sig over de gode resultater.

- Da jeg startede som kræftlæge, var der meget få behandlingsmuligheder til patienter med lungekræft, og kun få var i live efter fem år. Højst et par patienter på afdelingen kunne hvert år tilbydes at få langvarig strålebehandling. Der er sket en kæmpestor udvikling, og i dag kan vi rent faktisk helbrede patienterne, siger Marianne Marquard Knap, der er lungekræftlæge ved Aarhus Universitetshospital.

Hun tilføjer, at patienterne i dag har endnu en behandlingsmulighed i form af immunterapi.

- Derfor er det meget vigtigt, at de undgår bivirkninger af strålebehandlingen, for så er der større chance for, at de kan tåle immunterapi, siger Marianne Marquard Knap.

Find resultaterne her: Møller DS: Survival benefits for non-small cell lung cancer patients treated with adaptive radiotherapy. Radiotherapy and Onocology. Februar 2022.

Se video og hør Marianne Knap og Ditte Sloth Møller fortælle om behandling af lungekræft med adaptiv stråleterapi.