Spring navigation over

Ny teknologi skal hjælpe læger med at finde lungekræft tidligt

Knæk Cancer støtter nyt projekt med kunstig intelligens og lungekræftscreening.

Frederik Duedahl
Frederik Duedahl er læge på Odense Universitetshospital og står i spidsen for det projekt, der nu har fået støtte fra Knæk Cancer. Foto: OUH

Lungekræft er den kræftsygdom, som flest danskere dør af. Det skyldes især, at sygdommen ofte bliver opdaget for sent – og chancen for en helbredende behandling er mindre.

Derfor har myndighederne besluttet, at lungekræftscreening skal afprøves i et forsøgsprojekt i Syddanmark. Og derfor blev de første borgere fra Fyn, Ærø og Langeland sidste år indkaldt til screening for lungekræft med en CT-scanning af brystkassen.

Forskning viser, at lungekræftscreening redder liv, og forsøget skal vise, om det kan lade sig gøre at indføre lungekræftscreening i Danmark, og hvordan et screeningsprogram skal se ud.

Nu har forskere fået støtte fra Knæk Cancer 2025 til et forskningsprojekt, der skal løse et indbygget problem i lungekræftscreening – nemlig manglen på de radiologer, der skal finde kræftsvulsterne på scanningsbillederne.

- Det er helt urealistisk at uddanne nok radiologer til at følge med. Derfor skal vi finde måder at aflaste dem på, og samtidig bevare en høj kvalitet, siger Frederik Duedahl.

Han er læge og ph.d.-studerende på Hjerte-, Lunge-, og Karkirurgisk Afdeling på Odense Universitetshospital, og står i spidsen for det projekt, der nu har fået støtte fra Knæk Cancer.

Læs om forsøgsprojekt med lungekræftscreening:

Flere overlever, hvis sygdommen opdages tidligt

Mobil scanner
En mobil scanner kan køres til Rudkøbing og andre lokalområder, så deltagerne i forsøgsprojektet kan blive scannet tæt på deres hjem. Foto: OUH

Dansk system bygget fra bunden

Projektet handler om et system kaldet AI-RAPTOR. Det er et computerprogram, der ved hjælp af kunstig intelligens kan hjælpe lægerne med at finde tidlige tegn på lungekræft på CT-scanninger.

Frederik Duedahl og hans kolleger har arbejdet på AI-RAPTOR siden 2022. Med pengene fra Knæk Cancer 2025 skal de videreudvikle og finpudse systemet. Målet er at have en færdig model klar til tredje runde af lungekræftscreeningen i Syddanmark i september 2026.

Frederik Duedahl fortæller, at der findes lignende systemer i udlandet. Men selv om vi mennesker i udgangspunktet tilhører den samme race, har det vist sig, at man ikke kan bruge den samme algoritme på alle folkeslag.

- En algoritme, der er trænet på kinesiske patienter, kan fungere perfekt i Kina, men langt dårligere herhjemme. Derfor udvikler vi et dansk system baseret på danske patienter, forklarer han.

AI RAPTOR
Projektet udvikles i tæt samarbejde mellem forskerne og de fagfolk, der skal bruge teknologien i praksis. Det skal sikre, at systemet ikke blot virker – men også bliver en del af hverdagen på hospitalerne. Foto: OUH

Bygger på 21.000 kræftknuder

Projektet anvender den første CT-scanning fra alle lungekræftpatienter i Region Syddanmark gennem ti år. Resultatet er verdens største datasæt af sin slags, med over 21.000 kræftknuder, der alle er omhyggeligt indtegnet i hånden af specialister – et arbejde, der har taget mere end 4.000 timer.

Tegningerne er brugt til at træne algoritmen i at genkende mønstre på scanningerne, der kan være tegn på lungekræft.

Læs mere: Lungekræft

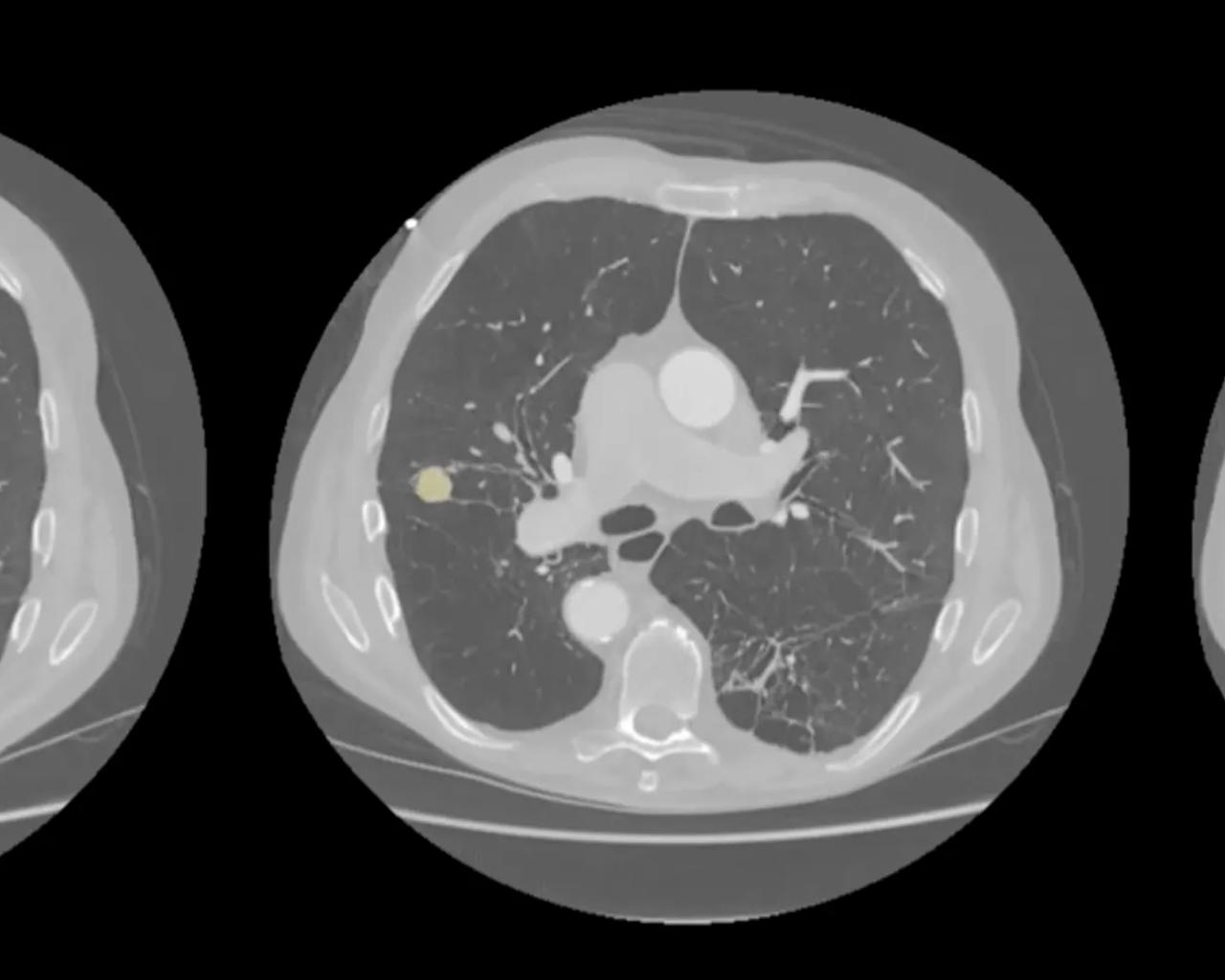
AI Raptor
Her ses et udsnit af en CT-skanning af en patients brystkasse. Den gule markering viser en lille knude i lungen, som den kunstige intelligens har fundet, og lægen har bekræftet som kræft. Den kunstige intelligens hjælper her radiologen med at få øje på små forandringer, men den endelige vurdering og diagnose foretages altid af radiologen. Foto: OUH

Afprøvet i screeningsprogrammet

I 2024 blev systemet for første gang afprøvet i Region Syddanmarks lungekræftscreening. Radiologerne gennemgår først scanningerne på normal vis og får derefter adgang til de fund, som den kunstige intelligens har gjort.

Programmet præsenterer hver enkelt mistænkelig knude, og lægerne vurderer, om de er enige i computerens forslag. På den måde lærer mennesker og maskiner af hinanden.

Frederik Duedahl ser kunstig intelligens som en vigtig del af fremtidens sundhedsvæsen:

- Den kunstige intelligens bliver ikke træt og gør ikke forskel. Den kan hjælpe lægerne med at opdage kræft tidligere og give patienterne en hurtigere og mere effektiv udredning. Hvis Danmark skal have lungekræftscreening i fremtiden, bliver vi nødt til at bruge kunstig intelligens, siger Frederik Duedahl.

AI-RAPTOR star for ‘Artificial Intelligence for Radiological Assistance for Pulmonary and ThOracic analysis in tumor Recognition and screening’

Se alle muligheder for at støtte

Når du støtter Knæk Cancer, støtter du vigtig kræftforskning. Du kan donere et beløb, starte din egen indsamling, deltage i lodtrækning eller tænde et lys. Det er bare nogle af måderne, du kan støtte Knæk Cancer.

Sådan kan du støtte

Spørgsmål om Knæk Cancer

Find svar på dit spørgsmål om Knæk Cancer.

Se alle Spørgsmål & Svar

Knæk Cancer er en landsdækkende indsats mod kræft, hvor TV 2 og Kræftens Bekæmpelse går sammen med danskerne om at samle ind til forskning, forebyggelse og støtte til patienter og pårørende.

Kampagnen folder sig ud på tv, online, sociale medier og i hele landet – med events, frivillige og stærke fællesskaber.

Læs mere om Knæk Cancer her

Knæk Cancer 2025 finder sted i uge 41 til 43 – tre uger, hvor hele Danmark står sammen om at knække cancer.

Skoler, byer, virksomheder, familier og enkeltpersoner engagerer sig på hver deres måde – og netop dét gør fællesskabet stærkt.

Sæt kryds i kalenderen: Det store liveshow sendes lørdag 25. oktober på TV 2.

Alle kan være med – som privatperson, virksomhed, skole, forening eller by.

Du kan f.eks.:

✔ Give et bidrag
✔ Deltage i en lodtrækning
✔ Starte din egen indsamling/aktivitet
✔ Sætte gang i et lokalt initiativ

Uanset hvordan du støtter, er du med til at samle Danmark i et stærkt fællesskab mod kræft.

Se hvordan du kan støtte Knæk Cancer