Undersøgelser og diagnose ved hjernetumorer
Ved mistanke om en hjernetumor vil den første undersøgelse, du får, ofte være en neurologisk undersøgelse efterfulgt af en MR-scanning af hjernen.
Ved mistanke sender lægen dig videre
De fleste, der bliver undersøgt for primær hjernekræft, vil som regel først være blevet indlagt på neurologisk afdeling med akutte symptomer på mistanke om epilepsi eller et slagtilfælde (apopleksi).
Neurologisk undersøgelse
Hvis der kan være mistanke om en hjernetumor, vil du først få foretaget det, man kalder en neurologisk undersøgelse. Formålet med den neurologiske undersøgelse er at finde ud af, om der er tegn på, at nervesystemet ikke fungerer, som det skal.
Oftest er det den lokale hospitalsneurolog (en speciallæge i nervesystemet) eller en neurokirurg (speciallæge som opererer hjerne, rygmarv og nervevæv), som foretager de indledende undersøgelser.
Hvis den neurologiske undersøgelse giver mistanke om en hjernetumor, får du tilbudt et såkaldt kræftpakkeforløb, og bliver henvist til en scanning. Det vil oftest være en MR-scanning, men kan også være en CT-scanning.
Udredning på neurokirurgisk afdeling
Du bliver undersøgt og får stillet en diagnose på en neurokirurgisk afdeling på et hospital. Her samarbejder læger med forskellige faglige specialer (multidisciplinært team), så du kan få tilbudt den bedst mulige behandling.
Udredningen ved et ekspertteam har til formål at undersøge:
- Om det drejer sig om en hjernetumor (diagnose)
- Sygdommens stadie
- Dine behandlingsmuligheder
Undersøgelser
Du vil få foretaget en række undersøgelser, der skal vise, om der er tale om en hjernetumor.
Diagnosen kræft i hjernen kan først stilles, når en vævsprøve fra knuden har vist, at der er kræftceller til stede. Hvis det er kræft, kan en række andre undersøgelser vise, hvor aggressiv kræften er, samt hvilken undertype af kræft i hjernen, der er tale om, da det kan have betydning for, hvordan den skal behandles.
Som regel vil du få foretaget følgende undersøgelser
- En almen helbredsundersøgelse
- MR eller CT-scanning
- PET/CT-scanning
- Vævsprøver
På baggrund af billedundersøgelserne kan lægen planlægge den videre udredning i forbindelse med en eventuel operation.
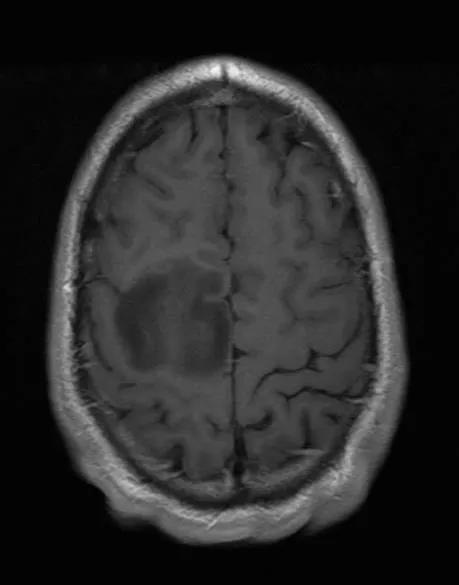
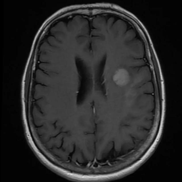
En MR-scanner kan lave et detaljeret billede af kroppens indre ved hjælp af et kraftigt magnetfelt, som registreres af en computer. Magnetfeltet er så kraftigt, at du ikke må have metaldele i kroppen. Det gælder dog ikke plomber i tænderne.
En MR-scanning viser betydeligt flere detaljer end CT-scanning, og hjernen kan ses fra alle vinkler ved denne undersøgelse. Læs mere om undersøgelsen:
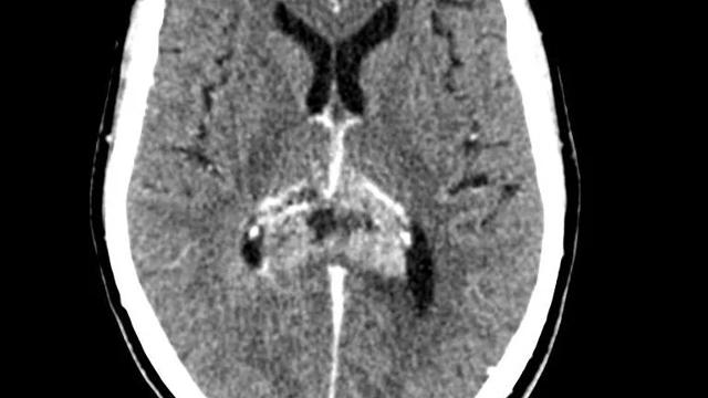
En CT-scanning er en undersøgelse, hvor der bliver taget en række røntgenbilleder hurtigt efter hinanden. Herefter bliver billederne bearbejdet i en computer. Denne teknik giver detaljerede billeder af hjernen, så lægen kan se, hvor og hvor dybt en eventuel tumor sidder.
Lægen vælger CT-scanning, hvis du ikke kan MR-scannes. Det kan f.eks. skyldes, at du har fået indopereret metal eller en pacemaker, der ikke tåler et magnetfelt.
Der laves som regel to sæt scanninger. Ét uden og ét med kontraststof, som bliver sprøjtet ind i en blodåre. Kontraststoffet gør det nemmere at se tumorer, betændelse og blodkar. Læs mere om undersøgelsen:
PET/CT-scanning kan bruges i den videre udredning, efter man har fået diagnosticeret en hjernetumor. Neurokirurgen kan bruge PET/CT til at få bedømt en hjernetumors aktivitet og derefter tage en vævsprøve fra det mest aktive område i tumoren.
Ved en PET/CT-scanning får man indsprøjtet et radioaktivt sukkerstof. Da kræftceller – ligesom hjernen - har et højere sukkerforbrug end normale celler, vil sporstoffet samle sig de steder i kroppen, hvor der er kræft. Den radioaktive del gør, at lægerne kan følge sporstoffets fordeling i kroppen på PET-scanningsbilleder. Læs mere om undersøgelsen:
Efter scanningerne får du som regel ved en operation taget en vævsprøve af tumoren for at finde ud af, hvilken slags hjernetumor, det drejer sig om. Neurokirurgen kan enten tage vævsprøven som en del af en operation, der har til formål at fjerne hjernetumoren eller ved en operation, der kun har til formål at tage en vævsprøve af tumoren.
Neurokirurgen borer først et hul i kraniet og fjerner derefter et lille stykke knogleplade. Med en såkaldt stereotaktisk metode, bruger kirurgen computerberegninger til helt præcist at tage en vævsprøve af hjernetumoren med en tynd nål. Knoglepladen sættes derefter på plads igen. Operationen tager ca. 1 time.
Vævsprøven sendes bagefter til undersøgelse under mikroskop og bliver undersøgt med forskellige specialteknikker.
De forskellige undersøgelser er vigtige, for at du kan få en præcis diagnose og dermed blive tilbudt den bedst mulige behandling.
Scanningsbilledet kan være en god hjælp til at forstå sin sygdom. Nogle patienter får et enkelt epileptisk anfald som det første symptom, og de kan have svært ved at tro på, at de har en hjernetumor.
Hvis vævsprøven viser kræft
Ved at undersøge en vævsprøve i mikroskop, kan lægen konstatere, hvilken type hjernetumor der er tale om, og hvor aggressive cellerne er. Begge dele har betydning for, hvilken behandling der er bedst.
Hjernetumorer grad 1 - 4
Ud fra cellernes udseende i mikroskopet er det muligt at inddele hjernetumorerne i fire grader alt efter, hvor aggressive cellerne er.
Grad 1 og 2 kaldes lavgradstumorer, og er ikke kræft, men kan udvikle sig til kræft. Grad 3 og 4 er kræft og kaldes højgradstumorer. Man ved, at der er en tendens til, at tumorer grad 2 kommer igen i en mere aggressiv form. Lavgradstumorer medfører ofte både fysiske og kognitive forstyrrelser.
Typer af hjernetumorer
Der findes forskellige typer hjernetumorer, og de opfører sig ikke ens. Tumorerne kan udgå fra selve hjernevævet og befinder sig dermed inde i hjernen, mens andre - f.eks. de som udgår fra hinderne - vokser uden på hjernen.
Hjernetumorer navngives efter det væv, de er udgået fra. F.eks. er gliomer de tumorer, der udgår fra hjernens støttevæv (glia), og meningeomer de tumorer, der udgår fra hjernens hinder (meninges).
Sygdommens forløb afhænger både af din alder og af hvordan din almene helbredstilstand er. Tumorens størrelse, hvor den sidder, om behandling er mulig samt af kræftcellernes aggressivitet og molekylære ændringer i kræftcellen spiller også en rolle.
Hjernetumorer spreder sig sjældent uden for hjernen, da hjernen har en særlig barriere ud mod blodbanen.
Gliomer
De hyppigste tumorer i hjernen udgår fra hjernens støttevæv, der hedder glia, og de kaldes derfor gliomer.
Der er tre hovedtyper gliom:
- Astrocytom
- Oligodendrogliom
- Ependymom
I daglig tale bruges ordet gliomer mest om astrocytomer og oligodendrogliomer. Gliomer udgør over halvdelen af alle hjernetumorer, og mere end 75 pct. af dem er aggressive.
Gliomer inddeles i fire grader
Gliomer inddeles i fire grader afhængigt af, hvor hurtigt kræftcellerne deler sig - det vil sige hvor aggressive de er. Graden kan give en idé om, hvor hurtigt tumoren vil udvikle sig og for prognosen.
- Grad 1 og 2 er mindst aggressiv og gror langsomt (grad 1 og 2 kaldes lav-grads gliomer)
- Grad 3 og 4 er mest aggressiv og gror hurtigst (grad 3 og 4 høj-grads gliomer). Kun disse to grader kaldes kræft
Astrocytomer er den hyppigste type gliom hos både voksne og børn, og opstår i de celler, der hedder astrocytter, som støtter nervecellerne i hjernen.
Glioblastom er den hyppigste hjernetumor med omkring 300 tilfælde årligt i Danmark. Denne type ses lidt hyppigere hos mænd end kvinder og optræder oftest i 50-70-årsalderen. Det er et høj-gradsgliom, der vokser aggressivt og kan sprede sig inden for hjernen og rygmarven, men stort set aldrig til andre steder i kroppen.
Ved operation vil kirurgen forsøge at fjerne så meget tumorvæv som muligt. Det kan være svært at fjerne hele tumoren, da der omkring den er normalt fungerende hjernevæv, som kan blive beskadiget ved operationen.
Derfor vælger kirurgen i nogle tilfælde at lave en mindre operation, hvor man får taget en prøve fra tumoren, som giver en klar diagnose, og herefter vil man så blive tilbudt behandling med stråle- og/eller kemoterapi.
Astrocytom grad 3 er den anden hyppigste type hjernetumor. Mellem 35 og 50 patienter får årligt stillet diagnosen i Danmark. Sygdommen ses lidt hyppigere hos mænd end kvinder og den gennemsnitlige alder, når man får diagnosen, er ca. 40 år.
Astrocytomer grad 3 er ofte udbredte og svære at afgrænse på scanningsbilleder. Når lægen har stillet diagnosen, vil man blive tilbudt behandling, som oftest vil være en kombination af stråle- og kemoterapi.
Astrocytom grad 2 er karakteriseret ved, at det første symptom i langt de fleste tilfælde er et krampeanfald. Sygdommen optræder oftest i alderen mellem 20 og 50 år, og omkring 30-40 patienter får årligt stillet diagnosen i Danmark. Der er lidt flere mænd end kvinder, der får sygdommen.
Inden operationen kan der være behov for undersøgelser ud over den allerede foretagne billedundersøgelse med CT og MR. I nogle tilfælde vil lægen foretage PET-scanninger for at få flere oplysninger om, hvor ondartet tumoren er, og hel-krops PET-scanning kan anvendes for at skelne mellem forskellige tumortyper.
Tumoren sidder ofte tæt på vigtige områder i hjernen, hvor det kan være svært at operere. Kirurgen kan så vælge at operere, mens du er vågen, så hjernens funktioner løbende kan vurderes, mens tumoren fjernes.
Formålet med operationen er at fjerne så meget af din tumor med så få følgevirkninger som muligt. Hvor meget der kan fjernes afhænger af, hvor i hjernen tumoren sidder.
Hvis du bliver tilbudt vågen operation, er det fordi tumoren sidder tæt på vigtige områder i hjernen. Ved en vågen operation kan neurokirurgen under operationen finde den bedst mulige balance mellem at få fjernet mest muligt af kræften og samtidigt skåne hjernens funktioner mest muligt.
Efterbehandling med stråle- og kemoterapi kan komme på tale afhængigt af, om det har været muligt at fjerne hele tumoren, og om du har neurologiske symptomer efter operationen.
Astrocytomer grad 2 udvikler sig nogle gange med årene til en grad 3 eller 4 tumor. Dette kaldes 'malign degeneration.' Man ved ikke præcist, hvor hyppigt dette sker.
Pilocytisk astrocytom er en sjælden forekommende hjernetumor. Den ses hyppigst hos børn med 20-30 tilfælde årligt i Danmark. Den er langsomt voksende og normalt uden tendens til at blive aggressiv.
Den ses først og fremmest i og omkring lillehjernen og synsnerverne. Behandlingen er primært operation.
Oligodendrogliomer udgår fra en type støtteceller i hjernen kaldet oligodendrocytter. De danner det fedtstof (myelin), der isolerer nerverne, så nerveimpulserne bedre kan løbe.
Der er lidt flere mænd end kvinder der får sygdommen og ca. 40 patienter om året diagnosticeres med denne sygdom. Denne type hjernetumorer medfører ofte krampeanfald (epilepsi).
Oligodendrogliomer er generelt karakteristeret ved at være langsomt voksende. De findes både som grad 2 og grad 3.
Behandlingen er primært operation og efterfølgende kan stråle- og kemoterapi kan komme på tale. Oligodendrogliomer reagerer bedre på kemoterapi end astrocytomer.
Ependymomer udgår fra de ependymale celler, der er den type støttecelle, som beklæder alle de væskefyldte hulrum i hjernen (ventriklerne), og som fungerer som en slags barriere mellem hjernevæsken og selve hjernen.
Ependymomer kan en gang imellem sprede sig via væsken i hjernes hulrum. På den måde kan tumoren sprede sig til andre steder i hjernen og ned i rygmarvskanalen. Ependymomer findes både som en grad 2 og grad 3.
Der ses ca. 20-25 tilfælde i Danmark om året. Ependymomer forekommer lidt hyppigere hos mænd end kvinder og kan optræde hos både børn og voksne i alle aldersgrupper.
Behandlingen er primært operation. Stråle- og kemoterapi kan også komme på tale afhængigt af, hvor i hjernen ependymomet sidder, og tumortypen.
Meningeomer udgør ca. 20-50 pct. af alle tumorer, som sidder inde i kraniet. Små meningeomer er ret hyppige, jo ældre man bliver. De er ofte betydningsløse og påvises normalt, når man får en scanning af hovedet af en helt anden årsag, f.eks. efter et mindre hovedtraume.
Sygdommen rammer flere kvinder end mænd og ses hyppigst i 50-70-årsalderen.
Meningeomer opstår i hinderne omkring hjernen og sidder udenpå hjernen. Meningeomer er som regel langsomtvoksende. En stor del af dem skal ikke behandles, men udelukkende kontrolleres med årlige kontrolscanninger, hvor lægen holder øje med, om meningeomet vokser og ændre udseende.
Hvis meningeomet vokser, kan det trykke på hjernen, fordi kraniet ikke kan give sig. Symptomerne afhænger af, hvor i hjernen det sidder. Hvis det vokser, vil du ofte blive tilbudt en operation. Ofte kan kirurgen fjerne hele meningeomet, men i nogle tilfælde er det kun muligt at fjerne en del af tumoren. Hvis det ikke har været muligt at få fjernet hele tumoren, vil du nogle gange blive tilbudt strålebehandling.
15 pct. af patienterne har mere end ét meningeom. Enkelte meget sjældne meningeomer er aggressive og har udviklet sig til kræft. Denne type behandles efterfølgende med strålebehandling.
Akustikusneurinom (vestibularisschwanom) opstår uden på hørenerven i den indre øregang. De udgør ca. 6 pct. af alle hjernetumorer, og opstår hos omkring 75-100 patienter om året. De optræder som regel i 40-50-årsalderen og er hyppigere hos kvinder end hos mænd.
Symptomerne afhængigt af, hvilken hjernenerve de sidder på. Tumoren sidder hyppigst på hørenerven (nervus vestibularis), som sidder mellem lillehjernen og hjernestammen. Symptomet er høretab på det ene øre.
Denne type hjernetumor kan være associeret til den arvelige lidelse neurofibromatosis Recklinghausen, også kendt som Neurofibromatose type 1.
Nogle af tumorerne er så små og vokser så langsomt, at de kun kontrolleres. Behandlingen afhænger af størrelse og af hvor i hjernen tumoren sidder. I mange tilfælde vil kirurgen kunne fjerne tumoren ved en operation. Alternativt kan man i nogle tilfælde få strålebehandling og/eller kemoterapi.
Corpus pineale er en kirtel midt i hjernen, som danner hormonet melatonin, der kontrollerer søvnen. Tumorer ved corpus pineale er sjældne, og kan opstå i eller ved kirtlen.
Tumorer i denne del af hjernen kan blokere cirkulationen af væske i hjernen, og medføre øget tryk i hjernen (hydrocefalus). Symptomerne er hovedpine og kvalme.
Behandling vil være operation, hvor kirurgen vil forsøge at fjerne tumoren og evt. behandling med ventil, hvis tumoren klemmer på de væskefyldte hulrum i hjernen, så trykket i hjernen stiger.
Når man får bortopereret tumoren, kan trykket lette. Hvis det ikke er muligt at fjerne tumoren, kan kirurgen lede væsken uden om tumoren eller det, der blokerer for væsken.
Lymfekræft kan opstå i hjernen. De fleste lymfomer i hjernen er af typen diffust storcellet B-celle lymfom, som er en undertype af non-Hodgkin lymfom. Ved mistanke om lymfom får du taget en vævsprøve. Lymfomer behandles ikke ved kirurgisk fjernelse. Behandlingen er kemoterapi og meget sjældent strålebehandling.
Læs mere om non-Hodgkin lymfom:
Hæmangioblastomer opstår i cellerne i væggen af blodkarrene i hjernen. Denne type tumor vokser ofte langsomt og findes som regel i lillehjernen. Sygdommen udgør omkring 2 pct. af alle tilfælde af hjernetumorer.
Hæmangioblastomer kan have relation til den sjældne arvelige lidelse Von Hippel-Lindaus sygdom, som desuden er karakteriseret ved forandringer i blodkarrene i øjet, tumorer i binyrerne og nyrekræft. Familier med von Hippel-Lindaus sygdom tilbydes genetisk rådgivning med molekylærgenetisk analyse og gentest.
Hæmangioblastomer kan sprede sig uden for hjernen til andre organer. Behandlingen er operation.
Læs mere om arvelig kræft og genetisk rådgivning:
Arvelig risiko for kræft - overvejer du genetisk rådgivning?
Medulloblastom er en aggressiv hjernetumor, som forekommer hyppigst hos børn og unge i eller omkring lillehjernen. De kan vokse hurtigt.
Symptomerne er ofte hovedpine, kvalme og opkastning. Symptomerne skyldes ofte ophobning af væske i hovedet, som øger trykket i hovedet. Der er mellem 10 og 15 tilfælde om året i Danmark.
Sygdommen er af typen primitive neuroectodermale tumorer, der opstår i celler fra den tidlige fostertilstand. Behandlingen er operation og efterfølgende stråle- og kemoterapi.
Ses oftest hos unge mellem 10-20 år. Germinalcelletumorer opstår i germinalceller, som er den type celler, der i fostertilstanden udvikler sig til at blive kvindens æg og mandens sæd, men som nogle gange kan findes andre steder i kroppen som et levn fra fostertilstanden. Nogle germinalcelletumorer udskiller specielle hormoner i blodet, kaldet alfa- foetoprotein (AFP) og human chorion gonadotropin (HCG).
Behandlingen er operation efterfulgt af strålebehandling og evt. kemoterapi alt efter, hvordan operationen er gået.
Kraniofaryngiomer er sjældne, ikke aggressive tumor, der også kan ses hos børn og unge.
| Glioblastom | 20-25 pct. |
| Astrocytomer | 20 pct. |
| Meningeom | 15-20 pct. |
| Akustikusneurinom (vestibularisschwanom) | 6-8 pct. |
| Hypofyseadenom | 6-8 pct. |
| Ependymom | 3-5 pct. |
| Oligodendrogliom | 2-5 pct. |
| Medulloblastom (hyppigst børn) | 2-5 pct. |
| Hæmangioblastom | 2 pct. |
| Andre | 8-10 pct. |
Anbefaling af behandling vurderes af ekspertteam
Udredning og behandling af hjernetumorer er fastlagt i nogle generelle behandlingsprincipper, men det betyder ikke, at alle patienter behandles ens. Tværtimod skræddersys behandlingen til den enkelte patient på baggrund af, hvilken type hjernetumor det drejer sig om, den specifikke undertype, og i forhold til, hvad den enkelte patient bedst tåler og selv er indstillet på.
Når de forskellige undersøgelser er udført, gennemgås resultaterne i et ekspertteam (såkaldt multidisciplinært team, MDT). Alle de læger, som indgår i dette ekspertteam, har erfaring med behandling og udredning af hjernetumorer. Teamet består af:
- en neurolog
- en neurokirurg
- en onkolog (kræftlæge)
- en patolog (læge, der undersøger vævsprøver)
- en radiolog og eventuelt en nuklearmediciner (læger, der vurderer billeder og scanninger)
Teamet når frem til en konklusion og en anbefaling til den behandling, der passer bedst til dig.
Da jeg fik diagnosen, blev alle i min familie frygtelig kede af det. Men jeg ved, jeg er en overlever, så jeg skal nok klare den.
Hvad sker der, hvis du får diagnosen?
Når lægerne har vurderet alle undersøgelsesresultaterne, bliver du indkaldt til samtale med en kirurg eller en kræftlæge (onkolog). Lægen vil fortælle dig om behandlingsmulighederne.
Behandling af en hjernetumor kan bestå i operation, strålebehandling og kemoterapi. Ofte styres behandlingen i et samarbejde mellem kirurger og kræftlæger.
Det er vigtigt at vide, at selv om lægen kommer med et tilbud om behandling, er det i sidste ende altid din egen afgørelse, om du vil sige ja. Ofte kan der være flere muligheder at vælge imellem, og derfor bør du overveje at have en ven eller noget familie med til samtalen, så beslutningen kan hvile på en grundig snak om fordele og ulemper. Du har også altid ret til at udbede dig betænkningstid, hvis du er i tvivl.
Mange afdelinger har også forskningsforsøg, hvor nye behandlingsmetoder afprøves. Hvis du kan indgå i et forsøg, vil du få grundig information om det, inden du beslutter dig. Husk at det altid er helt frivilligt at deltage i forsøg.
Spørg lægen
Du kan nemt glemme, hvad du vil spørge om, når du først sidder hos lægen. Og måske er det svært at formulere konkrete spørgsmål, der kan give dig svar på det, der bekymrer dig. Her finder du forslag til, hvad du kan spørge lægen om:
Reaktioner på en kræftdiagnose
For de fleste mennesker kommer en kræftdiagnose som et chok – også selvom man måske længe har kæmpet med mistanken om noget alvorligt.
Det tager tid at forholde sig til en kræftsygdom – både for en selv og for ens pårørende. Mange føler sig meget uafklarede i tiden efter, de har fået stillet diagnosen, og der kan være mange ting, man skal tage stilling til. Man skal forholde sig til behandlingen, tilrettelæggelsen af hverdagen, indlæggelserne, ens økonomi og også muligheder for at få hjælp, både fra det offentlige og fra ens netværk. Læs mere:
Råd til pårørende
Mød andre i samme situation
Hjernetumorforeningen er en patientforening, der har til formål at støtte og hjælpe patienter med kræft i hjernen og deres pårørende i forhold, der vedrører sygdommen.
Forsikring ved kritisk sygdom
Det er en god ide at undersøge om du har en forsikring, der dækker ved kritisk sygdom. Mange er bedre dækket, end de tror, gennem deres arbejdsplads, forsikringer, faglige organisation eller bank. Det udbetalte beløb kan i en svær tid give økonomisk frihed og anvendes helt efter den enkeltes eget ønske og behov. Læs mere: